Tìm kiếm
Tìm kiếm
THEO DÒNG 247
ĐỌC BÁO GIÙM BẠN
REVIEW GIÙM BẠN
BRAND CHECK
TẦN SỐ 247
TIPS SỨC
NGƯỜI VIỆT MỚI
ỦA VẬY HẢ?
VỮNG VÀNG
THOUGHT LEADERSHIP
SỐNG TRƯỜNG THỌ
THƯ VIỆN BÁC SĨ
TỪ ĐIỂN 247
VODCAST
GEN Z GEN ZÀ
THỨC THỜI
JOBSINSIGHT
WELLBEING
SỨC KHỎE THỊ DÂN
KHÔNG BỎ CUỘC
BỆNH PHỔ BIẾN
ĐÁI THÁO ĐƯỜNG
SỐT XUẤT HUYẾT DENGUE
HÔ HẤP
COVID
BỆNH HIẾM
i-HEALTH
SỰ KIỆN
Hỏi đáp cùng bác sĩ
Tag: vat tay
THEO DÒNG 247
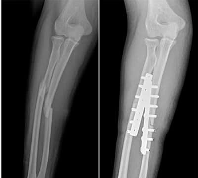
Chơi vật tay, nam thanh niên tập gym bị gãy tay
Phổ biến
THEO DÒNG 247
Chơi vật tay, nam thanh niên tập gym bị gãy tay
Xem thêm
Chủ đề
THEO DÒNG 247
ĐỌC BÁO GIÙM BẠN
REVIEW GIÙM BẠN
BRAND CHECK
TẦN SỐ 247
TIPS SỨC
NGƯỜI VIỆT MỚI
ỦA VẬY HẢ?
VỮNG VÀNG
THOUGHT LEADERSHIP
SỐNG TRƯỜNG THỌ
THƯ VIỆN BÁC SĨ
TỪ ĐIỂN 247
VODCAST
GEN Z GEN ZÀ
THỨC THỜI
JOBSINSIGHT
WELLBEING
SỨC KHỎE THỊ DÂN
KHÔNG BỎ CUỘC
BỆNH PHỔ BIẾN
ĐÁI THÁO ĐƯỜNG
SỐT XUẤT HUYẾT DENGUE
HÔ HẤP
COVID
BỆNH HIẾM
i-HEALTH
SỰ KIỆN
POWERED BY
ONE
CMS
- A PRODUCT OF
NEKO
Đăng nhập
Đăng nhập với email
Đăng nhập
Lấy lại mật khẩu
Đăng nhập với
Facebook
Google
Đăng ký
Tạo tài khoản
Để sử dụng đầy đủ tính năng và tham gia cộng đồng Doctor247
Tạo tài khoản
Đăng nhập với
Facebook
Google
Khi bấm tạo tài khoản bạn đã đồng ý với
quy định
của Doctor247
Quên mật khẩu
Lấy lại mật khẩu với email
Gửi yêu cầu
Đăng nhập với
Facebook
Google
Đổi mật khẩu
Lấy lại mật khẩu với email
Đồng ý
Đăng nhập với
Facebook
Google